
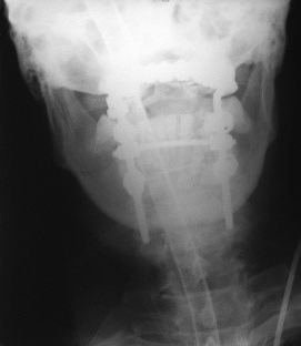
”O·C·A·M” (Occipito-Cervical Anchorage Method) implants are intended for use in the treatment of the occipito-cervical spine from the posterior surgical approach.
”O·C·A·M” stabilizer is based on ”anchors” fixation in occipital bone and cervical spine (lateral masses). The design of ”anchor” provides the strongest and safest fixation of the implant in bone (up to 7 times stronger compared to bone screws) and ensures the durability of the stabilization system. Especially, when used in lateral masses the implant minimizes the risk of contact with the neuro-vascular system (higher risk occurs with transpedicular screws). The system comes in a wide range of hooks and screws, which provide several stabilization options depending on the individual intra-operative case.
Publications:
Ciupik L.F., Kierzkowska A., Jacek P. Application of computed tomography in morphometric evaluation of cervical spine in terms of bio-stabilization. Engineering of Biomaterials; 2011; 106-108: 89-94.
Ciupik L.F., Kierzkowska A., Jarmundowicz W., Radek A., Zarzycki D. Evaluation of fixation strength of the spinal titanium OCAM anchor. Engineering of Biomaterials; 2004; 7(38-42): 77-79.
The others about us:
http://www.thespinemarketgroup.com/OCAM
Funtions
FEATURES & BENEFITS


2. Preparation of implantation slot

3. Shape of prepared implantation slot

4. ”Anchor” insertion

5. Possible fixation locations of ”anchor” in lateral masses

6. Evaluation of ”anchor” fixation in bone – up to 7 times stronger when compared to bone screws

